뷰웍스, 의료용 X-ray 검사장비 +산업용 카메라 중 안빠지는게 있을까? (쉽게설명!)
뷰웍스 사업
Detector(64%, 의료용 X-ray = 정지영상, 동영상, 산업용), 산업용카메라(34%, FPD, 반도체, PCB, 문서검사 등)
· X-ray Detector : 정지영상, 동영상(치과용, 외과용), 산업용
* 동영상 X-ray Detector : 동영상은 끊임 없는 X-ray를 받아야하기 때문에 X-ray 광원에 잘 견뎌야함
* X-ray광원 > 디지털전환 방식 : CCD, CMOS(Complementary Metal-Oxide Semiconductor), TFT(Thin Film Transistor) / CMOS방식은 가격이 비싸고 촬영면적이 좁아 TFT패널 방식이 추세화
* CCD(Charge Couple Device) : Capacitor에 Pixel을 두어 전하가 들어오면 1, 안들어오면 0
* TFT(Thin Film Transistor) : Transistor가 스위치를 1, 0으로 조절
· 산업용 카메라 : FPD(Flat Panel Display), 반도체, PCB, 전자부품, 태양전지, 문서 검사, 골프 시뮬레이터 등

기회
· 치과, 외과, 디스플레이, 반도체 등 디지털 + 미세화 전환 가속화 중 > X-ray 광원을 이용한 검사장비 수요 증가
·
리스크
· 산업용 카메라는 AOI(Automatic Optical Inspection)에 속함 > AOI는 제조업에 대부분 쓰임 > 제조업 경기에 민감
·
업데이트 :
주주구성(23.8월 기준) :

뷰웍스
뷰웍스는 X-ray 광원을 이용한 의료용(치과, 외과 등) 검사장비와 산업용 카메라를 생산 및 판매하는 업체에요. 의료용 검사장비는 X-ray광원을 정지영상, 동영상 등 사람이 보기 편하게 디지털로 전환하여 보여주는 것이 핵심인데요. 뷰웍스는 CCD(Chard Couple Device), TFT(Thin Film Transistor) 방식을 통해서 디지털구현을 하고 있어요. CCD는 캐패시터(Capacitor)에 전하가 들어오면 ON, 안들어오면 OFF 방식이고요. TFT는 빛이 들어오면 트랜지스터(Transistor)가 스위치 ON, 안들어오면 OFF를 하면서 1,0으로 이루어진 디지털세계를 구현하는 것입니다. 산업용 카메라 부문은 주로 FPD(Flat Panel Display) 산업에 주로 쓰이며, 패널의 균일도, 색상표현, 이물질 검사 등에 주로 쓰이고 있습니다.
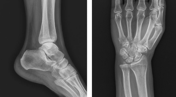
뷰웍스는 X-ray를 광원으로 하는 Detector(검사장비)를 납품하고 있는데요. X-ray Detector를 이용해 뷰웍스는 의료용(치과, 외과),산업용에 적용을 하고 있죠.
X-ray Detector는 X-ray를 피사체에 쏴서 반사되는 빛을 디지털로 전환시키면, 우리가 디스플레이에서 보는 X-ray 사진, 영상 등이 구현이 되는 것이에요. 좀 더 자세히 어떻게 작용하는지 살펴볼까요. 디지털로 전환하는 방식이 3가지로 나뉘는데요. 1. CCD(Charge Coupled Device) / 2. CMOS(Complementary Metal-Oxide Semiconductor) / 3. TFT(Thin Film Transistor)로 나뉩니다.

이 중 뷰웍스는 CCD, TFT 방식을 사용하고 있는데요. CCD방식은 전하를 저장하는 Capacitor(캐패시터)에 Pixel을 첨가하여 전기가 들어오면 on, 안들어오면off 방식으로 디스플레이를 구현하는 것이에요. TFT는 얇은(Thin) 박막(Film)으로 만들어진 트랜지스터(Transistor)를 이용하여 빛이 들어오면 스위치 on, 안들어오면 off 하는 방식으로 디지털 0, 1을 표현하는 것이죠. 결국, CCD, TFT 모두 X-ray 빛을 받았으면 ON, 안 받았으면 OFF가 되는 것이죠. CMOS방식은 가격이 비싸고 촬영면적이 좁기 때문에 TFT패널방식이 선호되고 있는 추세입니다(2023년 기준).

2. 산업용 카메라 : FPD, 반도체, PCB, 전자부품, 골프 시뮬레이터, 태양전지 등
뷰웍스는 산업용 카메라도 생산을 하고 있는데요. 주로, FPD(Flat Panel Display) 전용으로 공급을 하고 있어요. 카메라의 기능은 피사체를 찍어서 얼마나 실제와 똑같이 구현하는지가 핵심인데요. 이를 디스플레이 산업에 적용을 하면, 디스플레이공정에서 만들어지는 패널들의 패널배치, 색표현, 균일도 등을 산업용 카메라가 얼마나 정확히 잡아내는지가 중요할 것입니다.

아래 그림은 뷰웍스의 산업용 카메라 포트폴리오입니다.

연구실적으로 보는 뷰웍스의 현 주소 :
개인적으로 뷰웍스의 연구실적과 연구계획을 보면 동사의 현 상황과 미래 비전이 보인다고 생각을 하는데요. 같이 몇 개만 살펴볼까요.
따로, 뷰웍스는 연구실적에 대한 구체적인 사례를 들고 있지는 않고 최근 3개년 주요 프로젝트를 뭘 했는지를 공시하고 있는데요. 살펴보면, 의료영상 사업부에서는 치과, 정형외과에서 동물영상장비까지 진출을 한 것을 알 수 있어요. 또한, 엑스레이를 결국 사람이 보고 판단하는 것이기 때문에 영상처리 알고리즘까지 구현을 했죠. 산업용 카메라부문에서는 분자진단 검사용카메라에 진출하여 바이오 부문에서도 활약을 할 준비를 하고 있다는 것을 확인할 수 있습니다.


뷰웍스에 대한 지속적인 업데이트는 맨 위 상단을 참고하면 유익합니다 :)